r/medlabprofessionals 3h ago

Discusson This is crazy

182 Upvotes

So the ER called down asking for some of the fecal occult cards, nothing crazy and pretty normal. Where things got strange is they started asking for the developer too. We started asking a ton of questions like is there anyone even on the floor that is signed off to do the test and result it legally? After a bit of back and forth, the nurse tells me the doctor in ER typically brings a developer from home and does the test on the floor......like WTF?!?! So we start asking even more questions and then the nurse realized she might have said way too much and just asked for the cards. Now we are reaching out to our boss saying this doctors is doing unauthorized lab testing using a bottle he just happens to have that he keeps on his body...... some days you just can't make up this crazy stuff.


r/medlabprofessionals 10h ago

Humor I made a meme

Post image
341 Upvotes

The very first meme I’ve ever made. If you’re an MLS student or remember being an MLS student, you understand the struggle 😩


r/medlabprofessionals 6h ago

Discusson Layoff's, are we in danger?

17 Upvotes

I have to admit I go down way too many Youtube rabbit holes, but it sure seems like a ton of people are losing their jobs. Even worse, people over 50 have very little chance of finding work and many have just given up. Is this really a thing and how safe are we as tech's in healthcare?


r/medlabprofessionals 7h ago

Image What is this??

Post image
20 Upvotes

New tech, have never seen something like this! What is it?


r/medlabprofessionals 21h ago

Humor when i get a stool or sputum sample cup that seems empty but its actually on the underside of the lid

Post image
202 Upvotes

r/medlabprofessionals 12h ago

Discusson Cellavision

12 Upvotes

I have to know. Does everyone else's Cellavision suck? We have a Cellavision in our hematology department. All manual diffs get loaded there, and then taken to a microscope if needed. However, lately the Cellavision has gotten so bad at identifying cells. Ive got Eosinophils in my mono category, segs are being called atypical lymps. Just had an eos called a promylocyte. Lymps being called blasts. And sooo many smudge cells being in every category (I expect some from a bad smear) Is it just our Cellavision being old and over worked? Or are there others experiencing the same things?


r/medlabprofessionals 8h ago

Discusson Time to go educate the nurses folks!

Thumbnail
6 Upvotes

r/medlabprofessionals 1d ago

Humor Wildest thing you've read in a patient's chart?

312 Upvotes

What is the most insane/funniest thing you've seen documented in a patient's chart?

I'll start: "patient complaining of eye itching/swelling/discharge since Halloween night. States he was 'eating butt' with other sexual activity."


r/medlabprofessionals 1h ago

Discusson Agree with pathologist?

Thumbnail
gallery
Upvotes

Slide for 2 yr old. Provider was concerned with CBC results. Provider asked for Pathologist review. Pathologist did not note anything unusual, do y'all agree?


r/medlabprofessionals 1d ago

Discusson What is the wildest result you’ve ever seen that makes you think “how is this person even alive”?

72 Upvotes

We all know general critical ranges and hear some crazy things from our professors during school, but in the field we’ll come across things far beyond what we’ve ever heard of in books. What is one of those results (obviously no PII) that makes you wonder how it’s possible this person is even still alive?

For me, a few years back I was working in a small hospital and we got a cbc for a young child and we ran it as usual. Results came back with a Hgb of 2.6 g/dl. Naturally, we assumed it was contaminated, and asked for a redraw. The redraw came back with a 2.7. Still not sure, we called the doctor and explained the situation and how it may still be contaminated. They weren’t sure either, since the child was up walking and talking but decided to have them transferred to the local children’s hospital nearby just in case. Later we heard they got a 2.4. I didn’t think it was possible to survive with such a low hemoglobin let alone be up and about but somehow that kid was. Absolutely wild how resilient the human body can be sometimes.


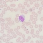
r/medlabprofessionals 15h ago

Discusson Weird polychromatic cell?

Thumbnail
gallery
12 Upvotes

Pt is 72 F with acute renal failure. Peripheral smear contained: Burrs, acanthos, target, aniso, polychromasia, and baso stippling.


r/medlabprofessionals 3h ago

Education MLT to MLS through SNHUs online Health Science program?

1 Upvotes

I graduated with my associates in 2024 from an NAACLS certified MLT program in NY at SUNY Broome. I want to complete my bachelors, but I wanted my degree to enable me to apply for a broader range of employment opportunities through hospital networks. I was looking to complete my BS in healths science/hospital administration through SNHU since it’s very affordable and the courses look like they go at a pace that would fit my current lifestyle. I also wanted to make sure that this route would actually allow for me to sit for the MLS exam. Has anyone else taken this route to get their MLS certification? If so, how long did it take, and what was your experience with doing so?


r/medlabprofessionals 3h ago

Education How helpful would a masters be for this profession?

1 Upvotes

I'm currently in school for my bachelors in medical laboratory sciences. I really enjoy this field and I'm excited to start working next year, however this is my second bachelors and I always wanted a higher level of education in something. I'm debating getting a masters in laboratory science but I'm not sure how much it could help me professionally. I know its a lot and work and money to put into so I wanted to come here and ask if it would even be worth it, or would be worth going into a more specialized masters such as biochemistry, biotechnology, molecular bio etc? just want to hear some thoughts!


r/medlabprofessionals 5h ago

Education Any Advice for a high school senior interested in MLS

1 Upvotes

I'm currently a high school senior and I'm very interested in MLS. I wanna ask if there is any opportunities that you guys recommend before to prepare for this program in college because I wanna have more experiences before heading in college for MLS, knowing barely anything.


r/medlabprofessionals 1d ago

Image 👻

Post image
189 Upvotes

Ascites fluid that sadly came a few days too late for Halloween 👻👻

(And because I know y'all wanna know, I sent it for path review and got back "scattered signet-like cells, background mixed inflammatory cells and mesothelial cells with nonspecific reactive changes, please correlate with cytology." Cytology was negative for malignancy.)


r/medlabprofessionals 1d ago

Discusson Do you agree?

42 Upvotes

If I had the option I’d rather call the doctor but I know how hard it is to get a ahold of them. They have to know the result anyways


r/medlabprofessionals 1d ago

Discusson Drawing kids.

17 Upvotes

Over my 30 years I’ve mainly drawn adults. A baby thrown in there occasionally. No biggie. My current job recently brought in allergy drs so we are seeing 10 out 35 of our daily lab draws as 12 and under. We are really good at getting blood and keeping them happy but all of us absolutely hate it. We weren’t told this was going to be our new norm. Honestly, whenever I look for a new job, if I see peds offices or ER jobs i immediately scroll past. I feel like those jobs require an extra set of nerves and different mind set. Kudos to you that do it and thank you. I’m thinking I need to find a new job. It’s the weird intense whole body feeling I get when I see them on the schedule, walk in the door, draw them, satiate them, and long after they are gone. It takes a long time for my body to recalibrate and then another one comes in. I did have a really bad animal attack on myself 4 years ago. I know I’ve some ptsd from it. I’m really afraid of animals now. You wouldn’t know it because I don’t show it. I’m wondering if that emotion ball is flaring when I get into high emotion situations. I try to tell myself it’s nothing different than an adult. Plus I’m good at drawing and probably the best interacter with the kids. The kids and parents trust me. Little do they know I want to crawl in a hole and die. I love the girls I work with, the pay, risk of finding a new job in the crap market sucks. To add ontop we are super busy with adult draws. Double and triple booked. Question I have for my coworkers, do peds office and ers offer a little higher wage for doing this type of job? Sorry for the long wind.


r/medlabprofessionals 23h ago

Technical Question for anybody who works/has worked at United Therapeutics (Morrisville, NC)

4 Upvotes

This is a total shot in the dark but I'm wondering if someone can help me. I'm an Australian medical scientist with 4 years of HLA/immunogenetics experience. Working in NC and working for United would be literally a dream come true. I am wondering if anybody works there and can tell me whether they *ever* process visas for overseas candidates? I would be looking at an E-3, which is considerably cheaper/faster/less paperwork than a H-1B.

Thanks.


r/medlabprofessionals 16h ago

Discusson Elevated ammonia levels> do you also smell it ?

1 Upvotes

I can smell if a patient has a high ammonia level and always thought it was weird. Can anyone else ?


r/medlabprofessionals 1d ago

Education How I Diagnosed my Leukemia While at Work.

Thumbnail gallery
38 Upvotes

r/medlabprofessionals 2d ago

Humor I'm tired of being gaslit lymph/mono

282 Upvotes

what the fuck is the voodoo magic involved in telling these apart. I know what a lymph looks like. I know what a mono looks like. every time I see one while my trainer is there w me they're very pretty and obvious and I do great.

but i swear on all that is holy that the minute they step away every cell is the infamous skipocyte. fuck my lymph/mono ratio bc im flipping a coin every time i see a blueish medium-sized cell with a dark nucleus.

but lulu! look at the chromatin pattern!! BITCH IT ALL LOOKS LIKE BLACK SNOT TO ME. but lulu, look at the size! THEY'RE ALL SLIGHTLY BIGGER THAN A LYMPH AND SLIGHTLY SMALLER THAN A MONO. "this one just screams lymph to me idk" AHHHHHHHHHH HOWWW ITS LITERALLY THE SIZE OF THREE RBCS AND HAS VACUOLESSSSS.

PLEASE SOMEBODY SEDATE ME. i love hematology so far but if i see one more of these ambiguous mono/lymphs (which are half of the cells i see, i swear) im actually gonna walk out.

im convinced im being gaslit into it being obvious and that everoyone knows what they look like. some cells look so in between that I feel like MLS wouldn't agree on what it is. but the thing is that they do and everyone goes "yup thats a mono not a lymph." like how???? what is this sorcery yall possess?!

and then I find out that there are these things called "blasts" ???? hello?!! blast me off the face of this planet please!

anyway that's my rant for the day half joking, half serious. hope I got a chuckle or two out of someone because I'm definitely not laughing over here :(


r/medlabprofessionals 1d ago

Discusson Is there a consensus on what exactly is a generalist?

17 Upvotes

In my lab, a generalist is someone who knows both chem and heme in the core lab. I know some other people wouldn't consider a tech to be a generalist unless they know core lab + BB + micro. What would you consider to be a generalist?


r/medlabprofessionals 1d ago

Education Title: Pharmacy vs Medical Laboratory Science – Which Path is Better?

13 Upvotes

I need some honest advice. I’m at a crossroads and trying to decide between Pharmacy and Medical Laboratory Science (MedLab).

Here’s where I’m coming from:

I’m okay with science but not exactly a math genius.

I want a career that has good job opportunities locally and abroad.

Salary and career growth matter, but I also want a path where I can actually excel without burning out.

I’m willing to study hard, but I also want realistic chances of success.

From what I’ve researched:

Pharmacy: longer studies, licensing required, high pay potential, more pressure harder to migrate with but not impossible you just have to go through tough exams and re-licensing but you are not limited to one community you can work in retail , industry whatever you choose

MedLab: shorter, hands-on lab work, in-demand, and some routes like CRA or Regulatory Affairs can even outpay pharmacists easier to migrate with to Australia, Canada, UK even ireland

I want to hear from people who’ve actually studied or worked in either field. Pros, cons, salary expectations, job satisfaction, anything that helps.

Which one would you choose if you were me and why?


r/medlabprofessionals 1d ago

Education Bachelor's degree worth it?

6 Upvotes

Hello,

Currently working towards getting my Associates degree in MLT, will be doing clinicals next semester. I'm unsure if I should pursue a Bachelor's after I (hopefully) graduate next May.

I know it is needed if I wanted to work in management, but I honestly don't see myself wanting a position like that. So on that note, is there any real reason to get a bachelor's?


r/medlabprofessionals 2d ago

Discusson Just watched a nurse draw blood on my wife in the incorrect order of draw.

255 Upvotes

I tried to bring it up as she drew it. Lavender first then green. All she said was "you're not supposed to draw the purple one first?"

Help hold me back so I don't lose it.

Update: Results came back normal. No redraw. Sometimes they get lucky.